Wraz z nastaniem wiosny wiele osób rozgląda się za kupnem własnego konia. Aby w pełni cieszyć się z udanego zakupu, warto zwrócić uwagę na kilka ważnych aspektów. To właśnie o nich traktuje niniejszy artykuł.
Czy zakup konia to dobry pomysł?
Punktem wyjścia dla kupna konia powinno być zawsze pytanie czy jest to w ogóle pomysł dobry i mający umocowanie w rzeczywistych warunkach i możliwościach osoby chętnej na zakup. Dotyczy to zarówno nabycia konia pierwszego jak i każdego kolejnego. W pierwszym przypadku powinniśmy przede wszystkim zastanowić się nad punktem naszego rozwoju w edukacji hipologicznej, czyli dokładniej nad tym czy nasza wiedza i umiejętności pozwalają już na tak śmiały krok jak zakup konia. Innym aspektem jest również poziom umiejętności jeździeckich jeśli zwierzę to ma służyć jako wierzchowiec. Kolejnym pytaniem jest ilość czasu jaki będziemy mogli przeznaczyć na opiekę nad koniem i pracę z nim. Trzecie pytanie to aspekt finansowy, to znaczy czy będzie nas stać na utrzymanie zwierzęcia wliczając w to nie tylko cenę pensjonatu czy paszy jeśli dysponujemy własną stajnią, ale również wizyt kowala czy lekarza weterynarii. Rzeczywistość po zakupie pierwszego konia nierzadko wygląda znacznie inaczej aniżeli prezentuje się to w marzeniach i planach. Dlatego też, aby dokonać świadomego wyboru, nawet posiadając już spore doświadczenie jeździeckie, warto przedyskutować temat z kilkoma różnymi osobami posiadającymi własne konie. One bowiem najlepiej przedstawią realia właściciela prywatnego konia. Nieco inaczej jest, gdy rozważania dotyczą drugiego i następnych koni. Wtedy bowiem osoba zastanawiająca się nad zakupem ma już pogląd na to z czym wiąże się posiadanie własnego konia. Czasem bywa jednak tak, że zbyt pochopnie dochodzimy do wniosku, że kolejny koń nie uczyni wielkiej różnicy. Prowadzi to niejednokrotnie do sytuacji, gdy posiadana liczba koni zaczyna przerastać możliwości czasowe i finansowe właściciela, stając się dla niego opresją. Warto więc dokonać chłodnej kalkulacji czy kolejny koń nie przekroczy naszych możliwości.
Jaki koń dla kogo?
Jeśli już decyzja o zakupie konia zostanie podjęta, to następnym krokiem, nie mniej gruntownie przemyślanym, powinno być określenie jakiego typu konia faktycznie potrzebujemy. Określenie typu ma w tym przypadku dosyć szerokie znaczenie i dotyczy sposobu jego użytkowania, wieku, posiadanych już umiejętności, temperamentu i osobowości. Doprecyzowanie tych wszystkich zagadnień zawęzi znacznie krąg poszukiwań tego właściwego konia. Zakup nie będzie więc przypadkowy, znacznie zmniejszając tym samym ryzyko rozczarowania. Szczególną uwagę skupmy na sposobie użytkowania zwierzęcia. Jeśli bowiem ma to być materiał na sportowca spełniającego nasze dosyć wysokie ambicje, kryterium budowy ciała i zdrowia będzie szczególnie istotne. Koń z pewnymi wadami budowy będzie sobie doskonale radził w niezbyt wymagającej rekreacji i wady te będą praktycznie nieodczuwalne podczas użytkowania, tymczasem u konia sportowego mogą znacznie zwiększyć ryzyko kontuzji. Zwróćmy również uwagę na sam typ budowy. Może bowiem być ona prawidłowa, ale nie korespondować z obciążeniami jakie będziemy stawiać przed koniem. Dotyczy to na przykład budowy szyi u koni ujeżdżeniowych, które znaczną część czasu podczas jazdy spędzają w zebraniu. Przykładem takiego niedopasowania są niektóre kuce, obdarzone wyjątkowo krótką szyją, zmuszane do długotrwałej pracy w zgięciu głowy i szyi, co może skutkować u nich nawet problemami z oddychaniem. Częstym błędem popełnianym przez osoby chcące dokonać zakupu konia jest wybór zbyt młodego zwierzęcia, które nie potrafi jeszcze zbyt wiele. Kusi wizja ukształtowania konia podług swoich zamierzeń i carte blanche jeśli chodzi o ewentualne kontuzje oraz złe nawyki. Plusy płynące z pracy z młodym koniem są niezwykle mocne, mogą ich jednak doświadczyć tylko te osoby, które mają odpowiednie umiejętności i doświadczenie w tej dziedzinie. W przeciwnym razie obie strony – zarówno koń jak i jeździec mogą doświadczyć wielu niemiłych przeżyć, a w przypadku konia ich owocem mogą stać się trwałe i trudne do naprawy problemy związane z pracą z człowiekiem. Cechy psychiczne jakie prezentuje dane zwierzę pozostają często niedocenione w kontekście wyboru danego osobnika lub rezygnacji z niego. Tymczasem dopasowanie pomiędzy koniem i człowiekiem jest niezwykle ważne. Pragnący dużej dawki szybkiego ruchu i obdarzony niezwykle żywym temperamentem wierzchowiec będzie dla osoby marzącej wyłącznie o spokojnej jeździe „noga za nogą” prawdziwą udręką. Podobnie nie pozwoli rozwinąć skrzydeł na swoim grzbiecie osobie kochającej galopy koń o temperamencie flegmatycznym. Osoba, której brakuje pewności siebie, będzie miała wieczne problemy z upartym i krnąbrnym koniem o dominującej osobowości lewopółkulowego introwertyka. A niegrzeszący wybitną cierpliwością człowiek poprzez stawiane bez wyczucia nowe zadania zamknie w sobie jeszcze bardziej wrażliwego i kruchego psychicznie introwertyka prawopółkulowego. Właściwe dopasowanie pod względem osobowości konia i człowieka sprawi, że współpraca będzie prawdziwą przyjemnością i źródłem satysfakcji dla obu stron, które będą mogły w pełni rozwinąć swoje skrzydła, prezentując na co je stać.
Już na wstępie właściciel jest w stanie zauważyć niektóre nieprawidłowości w stanie zdrowia konia. Między innymi powinien on dokładnie obejrzeć i omacać ścięgna. Pamiętajmy jednak, że zawsze ostateczne zdanie, co do stanu zdrowia konia należy do badającego go lekarza weterynarii.
Nieuczciwi sprzedawcy
Tak jak wszędzie, tak i wśród osób sprzedających konie możemy natknąć się na takie, którym pojęcie uczciwości jest obce. Niestety swoim postępowaniem nierzadko przypinają szerokiemu gronu rzetelnych sprzedawców niezbyt pochlebną łatkę. Duża ilość kontuzji i innych problemów zdrowotnych, a także problemów behawioralnych z jakimi spotkać możemy się u dosyć znacznej liczby koni sprawia, że wartość obdarzonych nimi zwierząt znacznie się zmniejsza. Jednocześnie istnieje wiele sposobów na zatuszowanie tych wad. Ze sposobów tych korzystają właśnie nieuczciwi handlarze. Dlatego też niezwykle ważne jest to, aby konia kupować w jak najbardziej świadomy sposób, czyli z pomocą osób doświadczonych w dziedzinie hodowli i użytkowania koni oraz lekarza weterynarii specjalizującego się w hipiatrii.
Zdrowie konia
Koń, jak każdy żywy organizm, nierzadko obarczony jest różnymi schorzeniami mniej lub bardziej wpływającymi na jego wartość użytkową. Część z tych schorzeń ma charakter przemijający, część przewlekły. Sprawą niezwykle ważną jest ustalenie aktualnego stanu zdrowia konia i prognozy co do niego na przyszłość. Uzyskane informacje należy zestawić z planami dotyczącymi użytkowania zwierzęcia. Jeśli koń ma pracować intensywnie, musimy mieć świadomość, że ryzyko odnowienia się wielu kontuzji wskutek dużych obciążeń, znacznie wzrasta, mogąc limitować w dużym stopniu możliwości fizyczne konia. Jeśli decydujemy się na zakup konia po kontuzji, poznajmy dokładnie jej istotę i skonsultujmy z lekarzem hipiatrą ryzyko nawrotu komplikacji zdrowotnych. Ale zdrowie konia to nie tylko zagadnienia ortopedyczne. Schorzeniami powszechnymi i mogącymi znacznie limitować nie tylko użytkowanie zwierzęcia, ale również jego życie, są w szczególności alergie układu oddechowego. Jeśli kupujemy konia chorego to zawsze powinna być to nasza świadoma decyzja. Podejmując ją, często z bardzo szlachetnych pobudek chęci uratowania zwierzęciu życia, musimy sobie zadać pytanie czy będziemy w stanie zapewnić mu odpowiednie warunki. Przykładami takich schorzeń są choćby wspomniane już wcześniej alergie układu pokarmowego, które wymagają stworzenia koniowi szczególnych warunków bytowania redukujących do minimum obecność alergenów. Kupując konia chorego skonsultujmy się z lekarzem weterynarii, aby poznać możliwe scenariusze rozwoju schorzenia oraz sposoby terapii, tak abyśmy mogli ocenić swoje możliwości w kwestii dalszej opieki nad chorym zwierzęciem.

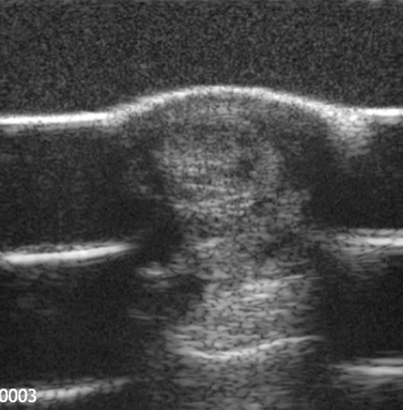
Nierzadko przed zakupem konia zasadne jest wykonanie badań dodatkowych, wśród których znajduje się między innymi ultrasonografia.
Na zdjęciu obraz USG ścięgien zginaczy kończyny piersiowej konia w przekroju poprzecznym.
Z kim wybierać konia?
Nawet jeśli nasza wiedza na temat koni jest dostatecznie duża, by dokonać oceny konia na własne potrzeby, to zawsze warto konia obejrzeć razem z drugą, znającą się na rzeczy osobą. Po pierwsze, fachowe oko zawsze może dojrzeć istotne z punktu widzenia kupującego rzeczy. Po drugie, zakupowi konia niekiedy towarzyszą dosyć silne emocje u osoby zainteresowanej nabyciem zwierzęcia. I emocje te mogą nieco zaciemniać obraz nawet tym osobom, które zdają się być w dziedzinie koni dostatecznie doświadczone. Doradztwo lekarza weterynarii w każdym przypadku jest mocno wskazane.
Przedweterynaryjna ocena stanu zdrowia konia
Choć w przypadku zakupu każdego konia, jak już wspomniano, warto zwrócić się do lekarza weterynarii z prośbą o zbadanie zwierzęcia i wydanie stosownej opinii, to wstępne badanie zwierzęcia kupujący może przeprowadzić sam. Nie chodzi tutaj w żadnym wypadku o zastępowanie tym badania lekarskiego, ale o wytypowanie koni, które do takiego badania przedstawimy specjaliście. Pozwoli to na ograniczenie kosztów związanych z badaniem weterynaryjnym koni, które od początku nie rokują dobrze co do pożądanego przez kupującego stanu zdrowia. Kupujący lub jego doradca powinien zbadać konia poprzez oglądanie i omacywanie, zwracając uwagę między innymi na wady budowy, nieregularności chodów (zwłaszcza kulawizny), stan grzbietu, stawów oraz ścięgien, możliwe do stwierdzenia bez sprzętu stomatologicznego istotne wady zgryzu, ślepotę, oznaki utrzymującej się duszności, wypływ z nozdrzy czy skłonność do częstego kaszlu.

W niektórych przypadkach wachlarz badań dodatkowych zostaje poszerzony o zaawansowane metody diagnostyczne takie jak scyntygrafia.
Na zdjęciu scyntygram kończyny piersiowej konia.
Badanie lekarsko-weterynaryjne
Jak już wspomniano, badanie przez lekarza weterynarii konia, z zamiarem którego się nosimy, stanowi postawę świadomego jego zakupu. Zasadniczą częścią tego badania jest badanie kliniczne, podczas którego lekarz ocenia stan poszczególnych układów. Szczególnie rozwinięta jest część ortopedyczna takiego badania. Wykonuje się również badania dodatkowe takie jak endoskopia dróg oddechowych czy zdjęcia rentgenowskie, które są już standardową częścią zdrowotnej oceny konia przez lekarza weterynarii. W zależności od wskazań, możliwości sprzętowych i finansowych wykonać można jeszcze szereg badań dodatkowych, takich jak na przykład scyntygrafia, pozwalających w możliwie najwyższym stopniu rozwiać wiele wątpliwości co do stanu zdrowia danego konia. Lekarz weterynarii może również pobrać próbki krwi w celu ich przechowania i zabezpieczenia na wypadek kontroli czy koń w momencie przedstawiania do badania nie był pod wpływem środków maskujących schorzenia fizyczne i ewentualnie również zaburzenia zachowania. Analizę laboratoryjną zabezpieczonych próbek przeprowadza się na wypadek wystąpienia u konia po zakupie wad niemożliwych do stwierdzenia przed zakupem, w związku z farmakologicznymi środkami maskującymi objawy. Wyniki badań i wnioski z nich płynące powinny wraz z potwierdzeniem identyfikacji badanego konia, znaleźć się z protokole badania, który może później posłużyć za dowód w sprawie, gdyby okazało się, że koń został sprzedany z zatajeniem jego wad.
Endoskopia wysiłkowa górnych dróg oddechowych konia w warunkach normalnej pracy, a nie na bieżni, pozwala na rozpoznanie nieprawidłowości związanych ze zwężeniem światła górnych dróg oddechowych. Spotykamy je przede wszystkim w dychawicy świszczącej, która u koni wykonujących pracę w wyjątkowo szybkim ruchu (głównie wyścigi konne i WKKW) może poważnie limitować ich wydolność wysiłkową i prowadzić do powysiłkowych krwawień z płuc.
Pamiętajmy, że pośpiech zwykle nie jest dobrym doradcą, a zakupiony koń, przy pomyślnych wiatrach, zostanie z nami na długie lata. Dlatego też dołóżmy wszelkich starań już przed sfinalizowaniem transakcji, zwracając uwagę nawet na te pozornie nieistotne sprawy, aby zakup był możliwie najbardziej świadomy i pozwolił w pełni cieszyć się nowym końskim przyjacielem.
Szukaj
Zaloguj się









